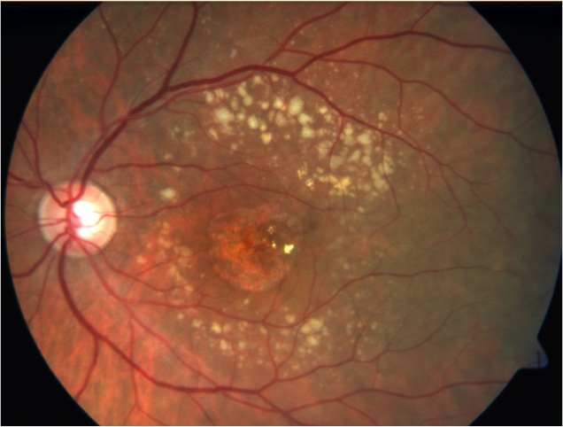
Degeneración macular asociadad a la edad

Como su nombre indica, esta enfermedad retiniana afecta a personas habitualmente mayores de 65 años. Tiene dos formas: seca o atrófica (cuyo único tratamiento son vitaminas especialmente formuladas para la retina) y húmeda o exudativa, la más agresiva y afortunadamente menos frecuente, en la que unos vasos sanguíneos anómalos producen líquido en la zona central de la retina (mácula) provocando líquido y exudación que afecta a la visión central. Un síntoma típico es la metamorfopsia (ver líneas torcidas). Su tratamiento consiste en la inyección intraocular de fármacos antiangiogénicos que consiguen “secar” la lesión. Es de vital importancia, en pacientes con factores de riesgo (drusas retinianas, etc.) usar la rejilla de Amsler periódicamente, que nos va a decir de forma precoz si existe metamorfopsia.
Glaucoma
El glaucoma es una enfermedad degenerativa del nervio óptico caracterizada (en general) por tener la presión intraocular elevada. Es la causa más frecuente de ceguera irreversible en todo el mundo. La prevalencia de glaucoma en la población de raza blanca se ha estimado en un 1 a un 2%. Suele ser de progresión lenta (salvo formas especiales como el pseudoexfoliativo, tan frecuente en Galicia)(ver La herencia de los Celtas). No da síntomas hasta fases muy avanzadas de la enfermedad, cuando el campo visual se ve muy reducido, por lo que es vital el control periódico de la tensión ocular sobre todo a partir de los 40 años. El control se realiza fundamentalmente con la toma de tensión, la visualización del nervio óptico y en los casos con glaucoma o sospecha, con la realización de un campo visual.El tratamiento básico consiste en bajar la tensión con tratamiento tópico (gotas) y si esto no es suficiente, cirugía o láser.
Lagrimeo/Ojo Seco
El lagrimeo o epífora puede traducir diversas patologías (obstrucción del conducto lagrimal, inflamación ocular, aumento de secreción lagrimal,etc) y muchas veces se asocia a ojo seco. La lágrima producida por el ojo, ya sea por alteraciones en su componente lipídico como ocurre en las blefaritis o porque se produce poca lágrima como en la artritis reumatoide, no es suficiente para mantener un estado de hidratación adecuado y el ojo intente suplir este defecto secretando más lágrima, también defectuosa, motivo por el que un ojo seeco puede presentar lagrimeo. La exploración ocular con test de schirmer y el estudio de la vía lagrimal nos dará un diagnóstico más concreto. El tratamiento suele basarse en tratar la enfermedad de base (blefaritis, obstrucción del conducto lagrimal, queratitis, enfermedades sistémicas, retirada de fármacos, etc) y aumentar la hidratación con lágrimas artificiales, idealmente sin conservantes.
Miopía/Hipermetropía/Astigmatismo
Son defectos de refracción, esto es, coregibles en general con gafa. La miopía típicamente produce mal enfoque de lejos (pero bien de cerca) y la hipermetropía bien de lejos y bien de cerca pero a base de enfocar mucho (pudiendo aparecer fatiga ocular). El astigmatismo, miópico o hipermetrópico, son defectos de refracción que afectan a un eje determinado del ojo (por ejemplo, 2 dioptrías en el eje horizontal, o 1 dioptría a 30º). Es de vital importancia detectar y corregir estos defectos en los niños, a fin de no hacer ojo vago.
Las lentes de contacto corrigen igualmente estos defectos de refracción, con la ventaja estética, de aumento de campo visual, de tolerancia entre graduaciones muy diferentes de un ojo a otro (anisometropía) y con la desventaja de las alergias, intolerancia y lo que es más importante, infecciones corneales.
La cirugía con láser (LASIK, LASEK, PRK, etc) de estos defectos es posible, con muy buenos resultados hoy en día, pudiendo corregir hasta 9-10 dioptrías de miopía, hasta 5-6 de hipermetropía y hasta 3-4 de astigmatismo; siempre y cuando se pasen una serie de requisitos (grosor corneal adecuado, refracción estable en los últimos 5 años, ausencia de glaucoma, pupilas no demasiado grandes, etc.).
Cataratas
La catarata es la causa de ceguera reversible más frecuente. El cristalino es una lente situada en el interior del ojo, que en condiciones normales es transparente permitiendo el paso de los rayos de luz hasta enfocarlos sobre la retina, y actúa como una lente de aproximadamente 22 dioptrías en un ojo sin defectos de refracción, consiguiéndose de esa manera una imagen nítida.
Cuando se produce una opacificación del cristalino lo suficiente como para provocar una disminución en la agudeza visual, estamos ante una catarata, habiéndola de diversos tipos y dureza. En Galicia hay que tener mucho en cuenta la pseudoexfoliación (ver “La herencia de los celtas”) que puede dificultar mucho la cirugía de la catarata.
En una cirugía de catarata estándar, mediante ultrasonidos se deshace la catarata y se coloca en su lugar una lentilla con graduación adecuada para seguir haciendo el mismo efecto que el cristalino.
En la imagen vemos una catarata hipermadura.
Ojo vago/estrabismo
El estrabismo es una alteración ocular que se caracteriza por la falta de alineación de ambos ojos, en la que realmente se tuercen los dos, pero siempre hay uno fijador o dominante y otro más débil que es el que acaba torciendo( pudiendo quedar amblíope o vago si no se corrige). La causa más frecuente de ojo vago es la anisometrópica (mucha diferencia de graduación entre ambos ojos), cuyo tratamiento es colocar la graduación adecuada y si esto no mejora el cuadro, tapar el ojo dominante para desarrollar la visión en el amblíope. Otra causa de ojo vago es el estrabismo, en cuyo caso el tratamiento pasa por gafas, oclusiones del ojo dominante e incluyo cirugía (o toxina botulínica) si es necesario para alinear los ojos. El ojo vago no suele ser recuperabla a partir de los 10-11 años de edad, por lo que la actuación debe ser precoz.
Presbicia/fatiga ocular
La vista cansada o presbicia es un defecto fisiológico que ocurre generalmente a partir de los 40 años, necesitando lentes positivas para poder enfocar objetos situados cerca (aproximadamente a menos de 30 cm). En las personas el cristalino varía su forma (y por tanto dioptrías) según las necesidades de enfoque o acomodación. Con el paso de los años esta flexibilidad va decreciendo por un endurecimiento gradual del cristalino y pierde su movilidad.
La fatiga ocular es un proceso generalmente asociado a hipermetropía en que los sujetos ven muy bien de lejos pero necesitan realizar demasiado enfoque para poder ver de cerca, por lo que al cabo de un tiempo acaban teniendo dolor de cabeza, visión borrosa, etc. La solución consiste en recetar unas gafas de descanso adecuadas para ayudar al ojo a estar más descansado (no necesita enfocar tanto) y medidas de descanso como buena iluminación, mirar todo lo lejos posible durante unos minutos cada hora, etc.
Derrame
Un derrame o hemorragia subconjuntival consiste en un sangrado generalmente pequeño localizado por debajo de la conjuntiva, producido en la mayoría de los casos por traumatismos o por subidas de tensión arterial, aunque en ocasiones se presenta de forma espontánea.
No es necesario instaurar ningún tratamiento, la sangre acumulada desaparece en 1 ó 2 semanas.
Moscas volantes
Las miodesopsias o moscas volantes son pequeñas manchas que se mueven con los movimientos oculares y que las personas afectadas la visualizan mejor cuando hay mucha luz o sobre superficies con colores claros. Son opacidades del gel vítreo que se encuentra dentro del ojo, y no suelen implicar alteración alguna ya que suelen suceder como un proceso de envejecimiento vítreo normal, sin embargo a veces pueden presentarse como consecuencia de patologías oculares como un desgarro o un desprendimiento de retina, por lo que deben ser estudiadas en los primeros 2 meses de su aparición. En estos casos se suelen presentar con luces o destellos acompañantes.
Blefaritis
Es una inflamación del borde libre del párpado, generalmente crónica y bilateral. La causa más frecuente es la infección por estafilococo, en muchos casos asociados a seborrea. Ocasionan una gran variedad de síntomas como, escozor, sensación de arenas, sequedad, ojo rojo etc. Si sufre un proceso agudo (por obstrucción de las glándulas palpebrales) puede dar lugar a lo que se conoce como orzuelo.
La blefaritis suele ser resistente al tratamiento que se basa en higiene local, antinflamatorios y antibióticos.



